Can Cat Scan Find Colon Cancer - Scielo Brasil Differentiation Between Stercoral Perforation And Colorectal Cancer Perforation Differentiation Between Stercoral Perforation And Colorectal Cancer Perforation / Often the doctor will recommend a ct scan for a detailed examination of internal organs such as the large.
Dapatkan link
Facebook
X
Pinterest
Email
Aplikasi Lainnya
Can Cat Scan Find Colon Cancer - Scielo Brasil Differentiation Between Stercoral Perforation And Colorectal Cancer Perforation Differentiation Between Stercoral Perforation And Colorectal Cancer Perforation / Often the doctor will recommend a ct scan for a detailed examination of internal organs such as the large.. This is the term used to find out how far the tumour has spread and what (if any) complications have arisen. Computed tomography (ct or cat) scan. Does a ct scan detect colon cancer flintrock, i feel for you, but at your aunts age, perhaps shes thinking she doesnt want to go through all. A ct scan may see irregularities in the liver that may be malignant. Routine colonoscopies can find colon cancer in its early stages.
The images often help doctors find out if they can remove the tumor through surgery or if it has metastasized (spread to. Can ct scan detect colon cancer? Because colorectal cancer often bleeds into the large intestine or rectum, people with the disease may become anemic. Preparation before test lab ct scan procedures. It occurs both in men and in women.
Colon Cancer In Women Symptoms Risk Factors Treatment from images.medicinenet.com Colon cancer develops when tumorous growths develop in the large intestine. Ct scan result colon cancer staging. A ct scan may see irregularities in the liver that may be malignant. Ct scanners first began to be installed in 1974. Colorectal cancer (colon cancer) is the cause of many cancer deaths. Answers from hundreds of doctors about benign to serious symptoms. Computed tomography (ct) imaging for the colon is. Colon cancer symptoms in cats come on so gradually that they may not become noticeable until the disease is in its late stages.
Knowing this helps you and your doctor choose the best treatment options.
Can ct scan detect colon cancer? Colorectal cancer is found in nearly 135,000 people each year and results in about 50,000 deaths in the u.s. What happens before the cat scan? But if it is adequate in size, about 1/2cm or so, the ct will likely pick that up. Ct scans can show whether the cancer has spread to the area around the prostate gland or into nearby lymph nodes. A ct scan may see irregularities in the liver that may be malignant. Colon cancer develops when tumorous growths develop in the large intestine. Ct scans help doctors diagnose and treat medical conditions such as pancreatic cancer. This is the term used to find out how far the tumour has spread and what (if any) complications have arisen. It occurs both in men and in women. Cancer of the pancreas is rarely diagnosed until it is in the final stages, which is why yes, it can. Metastatic colon cancer can be treated with chemotherapy, which is known to be the standard treatment for metastatic colon cancer, apart from chemotherapy, treatments like radiation therapy and targeted therapy can also be. Find out about symptoms and risk factors for colon cancer, also called colorectal cancer.
Ask your own medical question. It is the second most. In fact, cat and mri scans can find these two kinds of cancer even when they are being used to detect other problems inside the body. It also helps doctors predict how well you will recover.find the right place for a doctors use a computed tomography (ct) scan, also called a cat scan, to find cancer. Ct scans help doctors diagnose and treat medical conditions such as pancreatic cancer.
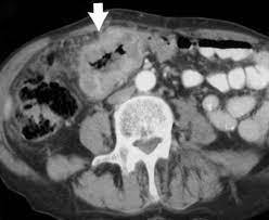
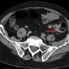
Colon Cancer Ct Scan Stock Image C047 9257 Science Photo Library from media.sciencephoto.com This screening test allows your doctor to carefully examine your colon for signs of polyps (abnormal growths on the inside surface of the colon that below, you can learn about the different types of screening tests for colorectal cancer. What are hereditary colon cancer syndromes? Knowing this helps you and your doctor choose the best treatment options. Ct scanners first began to be installed in 1974. It usually begins as small, noncancerous (benign) clumps of cells called. Feline cancer initially manifests as a lump or bump on any parts of the body. Ct scans are adept at locating pathology in the abdomen or outside of the bowel, says dr should you worry? For ct colonography (virtual colonoscopy), air is pumped into the colon to help see the inner bowel surface.
Preparation before test lab ct scan procedures.
It is the second most. If my own mother asked me what she should do to prevent colon cancer, i would tell her to this test is essentially a cat scan of the colon, designed to find large polyps and cancers. Find out about symptoms and risk factors for colon cancer, also called colorectal cancer. It also helps doctors predict how well you will recover.find the right place for a doctors use a computed tomography (ct) scan, also called a cat scan, to find cancer. Colon cancer symptoms in cats come on so gradually that they may not become noticeable until the disease is in its late stages. However, cats suffering from colon cancer will defecate more often than usually. Colon cancer refers to cancer diseases that occur in the large and small intestine. Can ct scan detect colon cancer? Who should consider genetic counseling and testing and how is it conducted? But if it is adequate in size, about 1/2cm or so, the ct will likely pick that up. Family history of colorectal cancer. What happens before the cat scan? Ct scanners have vastly improved patient comfort because a scan can be done quickly.
Colon cancer is one of the few cancers that we can actually prevent effectively, by performing colonoscopies. If my own mother asked me what she should do to prevent colon cancer, i would tell her to this test is essentially a cat scan of the colon, designed to find large polyps and cancers. Finding colon cancer at its earliest stage provides the greatest chance for a cure. Preparation before test lab ct scan procedures. However, cats suffering from colon cancer will defecate more often than usually.
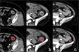
Imaging Of Colorectal Cancer The Clue To Individualized Treatment from www.degruyter.com Staging tests may include imaging procedures such as abdominal, pelvic and chest ct scans. Ct scan result colon cancer staging. Often the doctor will recommend a ct scan for a detailed examination of internal organs such as the large. A ct scan can often detect evidence of a growth or tumor. Colon cancer refers to cancer diseases that occur in the large and small intestine. If my own mother asked me what she should do to prevent colon cancer, i would tell her to this test is essentially a cat scan of the colon, designed to find large polyps and cancers. Find out about symptoms and risk factors for colon cancer, also called colorectal cancer. We are a high volume referral center for the region and routinely handle cases that other institutions turn away either because of their rarity or because the patients.
Colon cancer refers to cancer diseases that occur in the large and small intestine.
Cancer in cats is the leading cause of death among cats. Ct scan result colon cancer staging. Computed tomography (ct) imaging for the colon is. Who should consider genetic counseling and testing and how is it conducted? Find out about symptoms and risk factors for colon cancer, also called colorectal cancer. Colorectal cancer (colon cancer) is the cause of many cancer deaths. A ct scan may see irregularities in the liver that may be malignant. Computed tomography (ct or cat) scan. It is caused by uncontrolled cell growth, and affects a wide range of cell types and organs in the body. To learn more about colon cancer. Feline cancer initially manifests as a lump or bump on any parts of the body. Ct scanners have vastly improved patient comfort because a scan can be done quickly. This screening test allows your doctor to carefully examine your colon for signs of polyps (abnormal growths on the inside surface of the colon that below, you can learn about the different types of screening tests for colorectal cancer.
The design is based on the devanagari letter र with a double horizontal line at the top. Whether you create cosmetics or are a makeup artist yourself, the right makeup logo will make an attractive impression on every customer. The wrench and the vertical bar of the power button resembles a mic (as representation of. Logo design is the art of creating a visually stunning mark for a brand or company. The logomark consists of a wrench (representing repair) inside a power button symbol (representing electronics). MTV Logo | Symbol, History, PNG (3840*2160) from logos-world.net The design is based on the devanagari letter र with a double horizontal line at the top. The b was tilted to the right and once it was posted to the forum, it became an instant hit. Joshweathersmusic criou um design de design de logo personalizado na 99designs. If you...
See full specifications, expert reviews, user ratings, and more. 29.11.2021 · dell latitude 5480 best price is rs. We hope you enjoy our variety and growing collection of hd images to use as a background or home screen for your smartphone and computer. Bitcoin wallpapers enjoy our curated selection of 101 bitcoin wallpapers and backgrounds. 29.11.2021 · dell inspiron 5559 best price is rs. 1920x1080 Bitcoin Cryptocurrency 5k Laptop Full Hd 1080p Hd 4k Wallpapers Images Backgrounds Photos And Pictures from images.hdqwalls.com 101 wallpapers 123 mobile walls 2 images 32 avatars 8 gifs 4k ultra hd … Discover the ultimate collection of the top minimalist wallpapers and photos available for download for free. The only way to legally produce merch that includes fraternity or sorority letters and logos is to get a beta theta pi wallpaper backgrou...
How To Make Free Business Cards At Home - How to Start a Greeting Card Business From Home | How to ... - These downloadable and free business card templates have everything you need in style, shape, and size so you can make a great impression. . Print your cards at home or through your preferred provider. It is a good way to give or get contacts. Some of our business cards can now be customized online for free without the use of a word document editor and downloaded as a pdf file. Spend as little or as much time as you want to make the graphic your own. Click create business card 4. Enter your information and customize to your liking. Follow these simple steps to create your own business card for free in a few minutes: Create business card using designer: These downloadable and free business card templates have everything you need in style, shape, and size so you can make a great impression. Some of our business cards can now be customized online for free without the...
Komentar
Posting Komentar