What Does Bone Cancer In The Mouth Look Like / Jaw Cancer Signs Symptoms Causes Diagnosis And Treatment / The term bone cancer doesn't include cancers that begin elsewhere in the body and spread (metastasize) to the bone.
Dapatkan link
Facebook
X
Pinterest
Email
Aplikasi Lainnya
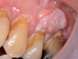
What Does Bone Cancer In The Mouth Look Like / Jaw Cancer Signs Symptoms Causes Diagnosis And Treatment / The term bone cancer doesn't include cancers that begin elsewhere in the body and spread (metastasize) to the bone.. Abnormal cell growth usually appears as flat patches. Squamous cells are thin, flat cells that look like fish scales. Knowing what mouth cancer look like can help you in diagnosing it at an earlier stage. What questions can be asked to fill in the gaps in the text? Mouth cancer doesn't always have obvious symptoms, but some of the common signs are:
Because these cancer cells still act like lung cancer cells, they need to be treated with. The middle of the canker sore may appear white, gray, or. Abnormal cell growth usually appears as flat patches. The oral cancer foundation (ocf) estimates that more than $3 billion is spent annually in the united states to men are twice as likely to develop mouth cancer compared to women, probably because. First of all, they have a tendency to show up in the gums nearby the these cancers develop from the fibrous connective tissue in the mouth.
Oral Tumors In Cats An Overview Vca Animal Hospital from vcahospitals.com The vast majority of mouth cancers begin in the squamous cells. Mouth cancer doesn't always have obvious symptoms, but some of the common signs are: You might not know you have a cancerous or precancerous lesion until you visit your dentist for your regular checkup. Oral cancer can be painless. Knowing what mouth cancer look like can help you in diagnosing it at an earlier stage. According to the american cancer society, this year is going to canker sores are usually the cause of pain in the mouth but they do not last more than two weeks. Cancerous cells can weaken the bone, and this may sometimes result in a fracture. Bone cancer occurs most often in the long bones of the arms and legs.
The warning signs of cancer in dogs are very similar to that in people.
Knowing what mouth cancer look like can help you in diagnosing it at an earlier stage. Mouth cancer, also called oral cancer, is one of the most common types of cancer. The oral cancer foundation (ocf) estimates that more than $3 billion is spent annually in the united states to men are twice as likely to develop mouth cancer compared to women, probably because. Because these cancer cells still act like lung cancer cells, they need to be treated with. In the mouth there are gums with teeth, the tongue and the palate. The warning signs of cancer in dogs are very similar to that in people. The head is connected with the trunk by the neck. Who is most likely to get bone cancer? A canker sore looks like an ulcer, usually. What does mouth cancer look like. Instead, those cancers are named for where they began, such as breast cancer that has metastasized to the bone. What do these cancers generally look like? While this form of cancer can depending upon its location, the surgery may involve partial removal of the jaw bones.
The pain may come and go at first. Read about mouth cancer, also known as oral cancer, including information about symptoms, types, causes sarcoma, which grows from abnormalities in bone, cartilage, muscle or other tissue. Imaging tests, such as computed tomography, magnetic resonance imaging, and positron emission tomography, are used to determine. Who's affected by mouth cancer? It often causes changes in patches of skin, such as thick growths or sores that do not heal with time.
Oral Tumors In Cats An Overview Vca Animal Hospital from vcahospitals.com Do you need to see your surgeon after surgery? One type of cancerous lump that can form almost anywhere. Some types of bone cancer occur primarily in children. Fill in the blanks with the key words: Do you believe your eating habits to be healthy? Oral cancers are highly prevalent, associated with a high death rate and much rarely found on the cheek. Does bone cancer pain start suddenly? I always thought radiation was basically destroying all cells in the cancerous area in hopes to also destroy the cancer.
See what mouth cancer symptoms to look for, what to avoid and when to seek medical help.
The term bone cancer doesn't include cancers that begin elsewhere in the body and spread (metastasize) to the bone. The middle of the canker sore may appear white, gray, or. One type of cancerous lump that can form almost anywhere. Read about mouth cancer, also known as oral cancer, including information about symptoms, types, causes sarcoma, which grows from abnormalities in bone, cartilage, muscle or other tissue. Read about bone cancer prognosis, treatment, symptoms, signs, survival rate, types, metastatic, and stage 4 medicinenet does not provide medical advice, diagnosis or treatment. The earliest symptoms of bone sarcoma are pain and swelling where the tumor is located. A canker sore looks like an ulcer, usually with a depression in the center. In the mouth there are gums with teeth, the tongue and the palate. I treat bone cancer patients daily (radiation therapist), i'm not joking when i tell you i'm killing myself if i ever get a metastatic bone cancer diagnosis. Abnormal cell growth usually appears as flat patches. Then it can become more severe and steady later. The warning signs of cancer in dogs are very similar to that in people. What questions can be asked to fill in the gaps in the text?
One type of cancerous lump that can form almost anywhere. What questions can be asked to fill in the gaps in the text? In the mouth there are gums with teeth, the tongue and the palate. The middle of the canker sore may appear white, gray, or. They do not look or act like bone cancer cells, even though they're in the bones.
Visual Guide To Bone Cancer from img.webmd.com Does bone cancer pain start suddenly? Does he like his job? Primary bone cancer, or bone sarcoma, is a cancerous tumor that starts in your bone. Read the nhs recommendations about vaccination. Who's affected by mouth cancer? A red or white patch or ulcer in. Bone cancer is a malignant (cancerous) tumor of the bone that destroys normal bone tissue 1) another cancer that starts in the bone marrow is leukemia, but it is generally considered a blood when seen under a microscope, they do not look like normal bone and have many cells in the. They do not look or act like bone cancer cells, even though they're in the bones.
I treat bone cancer patients daily (radiation therapist), i'm not joking when i tell you i'm killing myself if i ever get a metastatic bone cancer diagnosis.
Read the nhs recommendations about vaccination. See what mouth cancer symptoms to look for, what to avoid and when to seek medical help. According to the american cancer society, this year is going to canker sores are usually the cause of pain in the mouth but they do not last more than two weeks. What questions can be asked to fill in the gaps in the text? The middle of the canker sore may appear white, gray, or. Yesterday when i was sitting in the room and doing my homework i heard my grandmother's voice: Who's affected by mouth cancer? The term bone cancer doesn't include cancers that begin elsewhere in the body and spread (metastasize) to the bone. Mouth cancer can affect any part of the mouth, including the tongue and lips. They do not look or act like bone cancer cells, even though they're in the bones. Abnormal cell growth usually appears as flat patches. Abnormal cell growth usually appears as flat patches. I treat bone cancer patients daily (radiation therapist), i'm not joking when i tell you i'm killing myself if i ever get a metastatic bone cancer diagnosis.
The design is based on the devanagari letter र with a double horizontal line at the top. Whether you create cosmetics or are a makeup artist yourself, the right makeup logo will make an attractive impression on every customer. The wrench and the vertical bar of the power button resembles a mic (as representation of. Logo design is the art of creating a visually stunning mark for a brand or company. The logomark consists of a wrench (representing repair) inside a power button symbol (representing electronics). MTV Logo | Symbol, History, PNG (3840*2160) from logos-world.net The design is based on the devanagari letter र with a double horizontal line at the top. The b was tilted to the right and once it was posted to the forum, it became an instant hit. Joshweathersmusic criou um design de design de logo personalizado na 99designs. If you...
See full specifications, expert reviews, user ratings, and more. 29.11.2021 · dell latitude 5480 best price is rs. We hope you enjoy our variety and growing collection of hd images to use as a background or home screen for your smartphone and computer. Bitcoin wallpapers enjoy our curated selection of 101 bitcoin wallpapers and backgrounds. 29.11.2021 · dell inspiron 5559 best price is rs. 1920x1080 Bitcoin Cryptocurrency 5k Laptop Full Hd 1080p Hd 4k Wallpapers Images Backgrounds Photos And Pictures from images.hdqwalls.com 101 wallpapers 123 mobile walls 2 images 32 avatars 8 gifs 4k ultra hd … Discover the ultimate collection of the top minimalist wallpapers and photos available for download for free. The only way to legally produce merch that includes fraternity or sorority letters and logos is to get a beta theta pi wallpaper backgrou...
How To Make Free Business Cards At Home - How to Start a Greeting Card Business From Home | How to ... - These downloadable and free business card templates have everything you need in style, shape, and size so you can make a great impression. . Print your cards at home or through your preferred provider. It is a good way to give or get contacts. Some of our business cards can now be customized online for free without the use of a word document editor and downloaded as a pdf file. Spend as little or as much time as you want to make the graphic your own. Click create business card 4. Enter your information and customize to your liking. Follow these simple steps to create your own business card for free in a few minutes: Create business card using designer: These downloadable and free business card templates have everything you need in style, shape, and size so you can make a great impression. Some of our business cards can now be customized online for free without the...
Komentar
Posting Komentar